Serdecznie zapraszamy do kontaktu. Udzielimy wszelkich niezbędnych informacji oraz odpowiemy na Państwa pytania.
Sprawdź nasze stomatologiczne metamorfozy poniżej i zobacz, jak zmieniają się uśmiechy naszych Pacjentów. Przedstawiamy rzeczywiste efekty leczenia, które są najlepszym dowodem na skuteczność nowoczesnych metod stomatologicznych. Zobacz, jak wyglądały uśmiechy naszych Pacjentów przed leczeniem i jak spektakularnie zmieniły się po zakończeniu procesu.
Metamorfoza uśmiechu jest przeznaczona dla osób, które chcą:
Poprawić wygląd swoich zębów (kolor, kształt, ustawienie)
Zlikwidować przebarwienia, nierówności, ubytki lub braki zębowe
Odzyskać pewność siebie i komfort w codziennym życiu
Zadbać o zdrowie jamy ustnej w sposób kompleksowy
W prezentowanym przypadku 16-letnia pacjentka złamała górną jedynkę podczas lekcji WF-u.
Dzięki temu, że zachowała fragment zęba i trafiła do gabinetu na czas, lek. dent. Aleksandra Łyżwińska mogła precyzyjnie zacementować go z powrotem, odbudowując naturalny kształt i estetykę zęba bez konieczności stosowania materiałów kompozytowych czy protetyki. To przykład, jak nowoczesna stomatologia – w rękach doświadczonego lekarza – potrafi przywrócić uśmiech z wykorzystaniem własnych tkanek pacjenta. Minimalna ingerencja, maksymalny efekt.
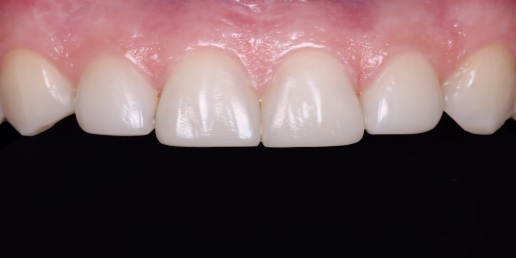
U pacjentki wykonano wymianę nieszczelnych i nieestetycznych wypełnień w jedynkach górnych. Aby przywrócić estetykę wykonano dwie malowane licówki kompozytowe (bonding) naśladujące naturalne zjawiska optyczne w zębie. Odbudowę wykonała lek. dent. Justyna Lewandowska, a za planowanie kompleksowego leczenia odpowiedzialna była lek. dent. Dominika Pietrzak.
Bruksizm to nie tylko zaciskanie zębów – to cichy proces, który potrafi latami niszczyć uśmiech.
W przypadku tego pacjenta skutki były już widoczne gołym okiem: zęby znacząco starte, funkcja zaburzona. Podeszliśmy do leczenia kompleksowo, z pełnym planem odbudowy zgryzu i estetyki – tak, by efekt byt trwały, zdrowy i dopasowany do realnych potrzeb pacjenta.
Pacjentka była poddana leczeniu ortodontycznemu poza gabinetem.
Za planowanie i odbudowę zgryzu odpowiadały lek. dent. Dominika Pietrzak oraz lek. dent. Justyna Lewandowska
W tym przypadku proces leczenia pacjentki był długotrwały ze względu na spore braki zębowe w odcinku estetycznym.
Część chirurgiczno-implantologiczną wykonywał lek. dent. Jarosław Krajewski, specjalista periodontologii, a za odbudowę protetyczną z użyciem licówek oraz koron ceramicznych wykonała lek. dent. Dominiki Pietrzak.
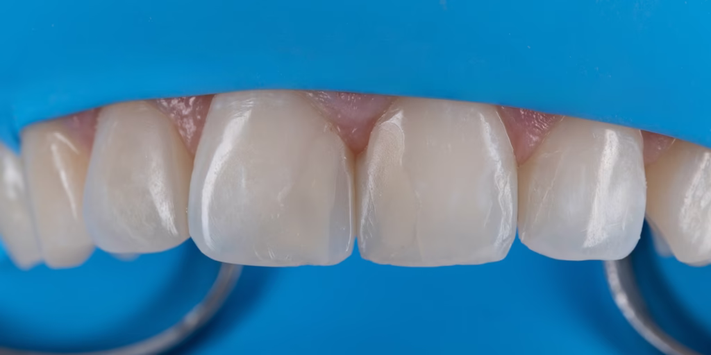
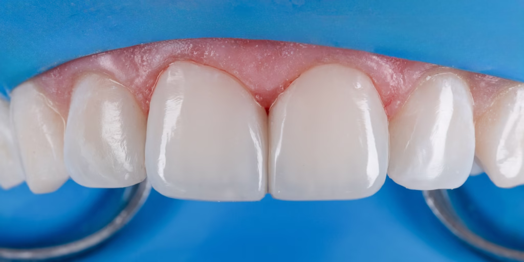
Tutaj prezentujemy efekt przejścia z pracy tymczasowej na pracę ostateczną.
W tym przypadku leczenie rozpoczęło się od etapu ortodontycznego, prowadzonego przez lek. dent. Anetę Zmorzyńską, która przygotowała zgryz do dalszej pracy. Następnie lek. dent. Marcin Kopeć wykonał licówki i onlay’e ceramiczne, maksymalnie zachowując naturalne struktury zębów i uzyskując efekt precyzyjnie dopasowany do proporcji i charakteru uśmiechu pacjentki.
Cała metamorfoza pozwoliła pacjentce nie tylko cieszyć się estetycznym uśmiechem, ale przede wszystkim zdrowym, stabilnym i funkcjonalnym zgryzem.
Każdy pacjent jest inny — dlatego plan leczenia i jego efekty zawsze są indywidualne, dopasowane do potrzeb i warunków danej osoby.
Za tą metamorfozą stoi historia pacjenta, który w wyniku niefortunnego wypadku na hulajnodze doznał poważnego urazu zębów przednich. Z dnia na dzień pacjent stanął przed poważnym problemem – uszkodzone zęby przednie, utrata estetyki i funkcji, duży dyskomfort.
Takie przypadki wymagają nie tylko umiejętności, ale i współpracy – dlatego leczenie zostało zaplanowane i poprowadzone zespołowo, krok po kroku.
Plan leczenia objął wiele etapów, zrealizowanych krok po kroku:
Za koordynację i finalny efekt odpowiadał lek. dent. Marcin Kopeć, który czuwał nad całym procesem leczenia i przywrócił pacjentowi nie tylko uśmiech, ale i pełną funkcję zgryzu.
Za tą metamorfozą stoi historia pacjentki, która od samego początku wiedziała, że chce podejść do leczenia świadomie i kompleksowo. Jej celem była poprawa estetyki i funkcji — nie szybkie rozwiązania, a plan, który zapewni zdrowie i piękny uśmiech na lata.
Takie przypadki wymagają nie tylko umiejętności, ale również współpracy różnych specjalistów — dlatego całe leczenie zostało zaplanowane i przeprowadzone zespołowo, krok po kroku.
Plan leczenia objął wiele etapów, realizowanych zgodnie z indywidualnym projektem:
Za koordynację i ostateczny efekt leczenia odpowiadał lek. dent. Marcin Kopeć, który czuwał nad każdym etapem i zadbał o to, by efekt końcowy byt nie tylko estetyczny, ale także funkcjonalny i trwały.
W leczeniu uczestniczyła również lek. dent. Justyna Lewandowska – leczenie próchnicy, wymiana wypełnień oraz infiltracja żywicą.
Mamy ogromną przyjemność podzielić się niezwykłą metamorfozą uśmiechu naszej pacjentki! Efekt końcowy to zdrowy i naturalny uśmiech, o jakim marzyła, a za nim stoi praca zespołu specjalistów.
Lek. dent. Marcin Kopeć – lekarz prowadzący, czuwał nad realizacją każdego z etapów planu leczenia, który obejmował:
Każdy z członków zespołu wniósł coś wyjątkowego do tej metamorfozy, a rezultaty mówią same za siebie! Lekarz prowadzący: lek. dent. Marcin Kopeć
Mamy ogromną przyjemność podzielić się z Wami metamorfozą uśmiechu naszego pacjenta. Efekt końcowy to nie tylko piękny uśmiech, ale przede wszystkim przywrócenie pełnej funkcji zębów, co miało ogromny wpływ na komfort życia naszego pacjenta.
Lek. dent. Marcin Kopeć – lekarz prowadzący, , czuwał nad realizacja każdego z etapów planu leczenia, który obejmował:
Dzielimy się z Wami historią metamorfozy uśmiechu naszej pacjentki.
Początkowo przyszła do nas, aby poprawić estetykę swojego uśmiechu, jednak po szczegółowej diagnozie okazało się, że konieczne było również dopracowanie funkcji zębów. Dzięki naszym specjalistom udało się osiągnąć naturalny efekt, który całkowicie spełnił oczekiwania pacjentki, która opuściła naszą klinikę zadowolona i z pięknym, funkcjonalnym uśmiechem.
Lek. dent. Marcin Kopeć – lekarz prowadzący, czuwał nad realizacja każdego z etapów planu leczenia, który obejmował
To wspólna praca i zaangażowanie każdego z członków zespołu wniosło coś wyjątkowego do tej metamorfozy, a rezultaty mówią same za siebie!
Pacjentka była wcześniej poddana leczeniu ortodontycznemu.
Chirurgia: lek. dent. Radosław Bartosz
Stomatologia zachowawcza i estetyczna: lek. dent. Marcin Kopeć, lek. dent. Aleksandra Łyżwińska
Metamorfoza uśmiechu to kompleksowy proces poprawy wyglądu i funkcji zębów, który prowadzi do uzyskania zdrowego, estetycznego i harmonijnego uśmiechu. Polega na indywidualnie dobranym planie leczenia, dostosowanym do potrzeb i oczekiwań pacjenta. Celem metamorfozy jest nie tylko poprawa estetyki, ale także zdrowia jamy ustnej i komfortu życia.
Zdrowy, estetyczny uśmiech to marzenie wielu osób. Dzięki dynamicznemu rozwojowi stomatologii estetycznej oraz nowoczesnym technologiom, takim jak Invisalign, licówki porcelanowe czy wybielanie zębów, uzyskanie wymarzonego efektu jest dziś dostępne dla każdego. W naszej klinice w Warszawie pomagamy Pacjentom odzyskać pewność siebie i komfort życia, oferując indywidualnie dopasowane plany leczenia, oparte na najnowszych osiągnięciach naukowych i wieloletnim doświadczeniu zespołu specjalistów.
Stawiamy na bezpieczeństwo i transparentność – każda metamorfoza prezentowana na stronie to efekt profesjonalnej diagnostyki, precyzyjnego planowania oraz ścisłej współpracy z Pacjentem na każdym etapie leczenia. Dbamy o najwyższe standardy higieny oraz komfort podczas wszystkich zabiegów, a zastosowanie nowoczesnych materiałów i technik pozwala osiągać naturalne, trwałe rezultaty.
Zadzwoń do N32 Dental Clinic i umów się na konsultację do specjalisty od metamorfozy uśmiechu, a my dołożymy wszelkich starań, aby leczenie implantologiczne zakończyło się pięknym uśmiechem.
Za każdym pięknym uśmiechem stoją specjaliści pełni pasji, wiedzy i precyzji, którzy od lat pokazują, że stomatologia to coś więcej niż medycyna — to prawdziwa sztuka. Kompetencje naszych lekarzy potwierdzają liczne międzynarodowe szkolenia oraz certyfikaty z zakresu stomatologii estetycznej. Nasi doświadczeni eksperci przeprowadzili już ponad 200 metamorfoz uśmiechów — od delikatnych zmian po kompleksowe odbudowy — przywracając Pacjentom pewność siebie i lepsze samopoczucie.



Metamorfoza uśmiechu obejmuje szereg zabiegów stomatologicznych, które mogą być wykonywane pojedynczo lub w połączeniu, w zależności od stanu wyjściowego zębów oraz oczekiwań pacjenta. Najczęściej w ramach metamorfozy wykonuje się:
Wybielanie zębów – poprawa koloru zębów, usuwanie przebarwień.
Leczenie ortodontyczne – prostowanie zębów za pomocą aparatów stałych, ruchomych lub nakładek (np. Invisalign).
Licówki porcelanowe lub kompozytowe – cienkie nakładki na zęby, poprawiające ich kształt, kolor i ustawienie.
Odbudowa zębów – wypełnienia, korony protetyczne, rekonstrukcje zębów uszkodzonych lub startych.
Leczenie chorób dziąseł i higienizacja – poprawa zdrowia przyzębia, usuwanie kamienia nazębnego.
Implanty i protetyka – uzupełnienie braków zębowych.
Klinika stomatologiczna N32 Dental Clinic to miejsce na warszawskiej mapie klinik stomatologicznych, gdzie kompleksowo i z najwyższą troską zadbamy o zdrowie jamy ustnej i piękne uśmiechy naszych Pacjentów. Bo uśmiech to nasza specjalność!
Zapraszamy do zapoznania się z listą najczęściej zadawanych pytań. Dzięki temu przewodnikowi szybko znajdziesz potrzebne informacje. Jeśli masz inne pytania skontaktuj się z nami.
Metamorfoza uśmiechu to kompleksowy proces poprawy estetyki i funkcji zębów. Może obejmować m.in. wybielanie, licówki, bonding, korony, leczenie ortodontyczne lub implantologiczne. Plan leczenia zawsze dopasowywany jest indywidualnie do potrzeb i oczekiwań Pacjenta.
Czas trwania zależy od zakresu leczenia. Proste metamorfozy mogą zakończyć się w ciągu jednej wizyty, natomiast bardziej zaawansowane przypadki mogą trwać od kilku tygodni do kilku miesięcy.
Zabiegi wykonywane są z wykorzystaniem nowoczesnych metod i znieczuleń, dzięki czemu są komfortowe i bezbolesne. Dbamy o to, aby Pacjent czuł się bezpiecznie na każdym etapie leczenia.
Efektem metamorfozy jest jaśniejszy, bardziej symetryczny i naturalnie wyglądający uśmiech, dopasowany do rysów twarzy. Oprócz poprawy wyglądu Pacjenci często zyskują większą pewność siebie i komfort w codziennym życiu.
Trwałość efektów zależy od zastosowanych rozwiązań oraz codziennej higieny jamy ustnej. Przy odpowiedniej pielęgnacji i regularnych wizytach kontrolnych efekty mogą utrzymywać się przez wiele lat.
Koszt metamorfozy jest ustalany indywidualnie po konsultacji i diagnostyce. Cena zależy od zakresu leczenia oraz wybranych metod. Podczas wizyty przedstawiamy szczegółowy plan leczenia wraz z wyceną.
Większość Pacjentów kwalifikuje się do metamorfozy uśmiechu. Kluczowa jest wcześniejsza konsultacja stomatologiczna, podczas której oceniamy stan jamy ustnej i dobieramy bezpieczne oraz skuteczne rozwiązania.
W N32 Dental Clinic stawiamy na kompleksową opiekę, troskę i komfort naszych Pacjentów. Dlatego, szczególnie podczas skomplikowanych planów leczenia warto zaufać doświadczonym specjalistom z N32 i nowoczesnym, bezpiecznym rozwiązaniom.
DOSKONAŁA Na podstawie 58 opinii Opublikowano na Agnieszka Bus2025-06-10Trustindex sprawdza, czy pierwotnym źródłem recenzji jest Google. Higienizacja u Klaudii to czysta przyjemność! Zabieg przeprowadzany bardzo starannie, wszystkie newralgiczne punkty doczyszczone i co najważniejsze bezboleśnie (a wiem co piszę, bo higienizacja do tej pory kojarzyła mi się z borowaniem po mózgu żywcem!). A wszystko to w bardzo przyjaznej i życzliwej atmosferze. Gorąco polecam!Opublikowano na Kiril Nikolov2025-06-06Trustindex sprawdza, czy pierwotnym źródłem recenzji jest Google. I had a 2-year long treatment. I am extremely happy with the result and I was even more impressed by the overall approach of dr Kopec. We first explored to find all problems and pain points, and after that came up with the two-year treatment plan that was careful and well thought out. No corner was cut and no detail was too small, leading to the great end result other dentist confirmed to be very well done. 5 stars, recommend wholeheartedly.Opublikowano na Sebastian Nowocin2025-05-19Trustindex sprawdza, czy pierwotnym źródłem recenzji jest Google. Bezboleśnie miła atmosfera. Polecam Panią Klaudię i Pana Marcina.Opublikowano na Kate Jablonska2025-05-06Trustindex sprawdza, czy pierwotnym źródłem recenzji jest Google. Polecam higienizację u Klaudii ❤️ wszystko super, szybko, sprawnie i bez bólu 🙏🏻Opublikowano na Kamila Urzędowska2025-05-06Trustindex sprawdza, czy pierwotnym źródłem recenzji jest Google. Najlepiej zadbane zęby w moim życiu. Zero bólu, pełen profesjonalizm Pani Klaudii, dziękuję! Wspaniała atmosfera. Polecam każdemu kto się boi i ma nadwrażliwe zęby. Jeszcze raz dziękuję!Opublikowano na marek sieniakowski2025-05-02Trustindex sprawdza, czy pierwotnym źródłem recenzji jest Google. Wspaniała i profesjonalna pomoc. DziękujęOpublikowano na Kasia Bukalska2025-04-25Trustindex sprawdza, czy pierwotnym źródłem recenzji jest Google. Miałam usuwane dwie ósemki. Bardzo profesjonalna obsługa, wszystko odbyło się punktualnie. Pani doktor Miękus- Michalak jest bardzo sprawna, rzeczowa, a przy tym miła i kontaktowa. Przebieg zabiegu oraz zalecenia pozabiegowe zostały dokładnie wyjaśnione. Kolejne dwie ósemki usunę w tym samym miejscu.